Connect with us

Nasional

One Stop Service, Deteksi Dini Kanker Paru di RSUP Persahabatan

Saat ini kanker merupakan penyebab kematian terbanyak yang menduduki posisi kedua setelah penyakit jantung. Angka kejadian tertiggi untuk kasus kanker di Indonesia terjadi pada laki – laki yakni kanker paru dan hati.

Pada perempuan, kasus kanker masih didominasi oleh kanker payudara dan leher rahim yang menduduki urutan teratas.

Perubahan gaya hidup masyarakat Indonesia yang kian modern saat ini tak selamanya mendatangkan hal positif bagi kesehatan. Penggunaan bahan pengawet makanan serta merokok merupakan pemicu kanker dalam tubuh seseorang.

Kementerian Kesehatan (Kemenkes) baru saja mengadakan survei Global Adult Tobacco Survey (GATS) 2021. Hasilnya, terungkap bahwa perokok laki-laki di Indonesia adalah yang terbanyak di dunia.

Advertisement

Direktur Jenderal Kesehatan Masyarakat, Maria Endang Sumiwi mengatakan, survei  GATS 2021 untuk melihat seberapa banyak perokok Indonesia.

“Ternyata perokok Indonesia terbesar ketiga di dunia setelah India dan Cina. Kemudian perokok laki-laki Indonesia adalah yang terbanyak di dunia,” ujar Dirjen Maria.

Menempati urutan ketiga di dunia dalam kasus jumlah perokok terbanyak, menurutnya, merupakan hal yang sangat harus diwaspadai karena dapat memicu kanker paru.

Risiko Kanker Paru, di antaranya :
1. Kebiasaan Merokok atau terpapar rokok
2. Usia 50 tahun
3. Faktor genetic
4. Pajanan karsinogen di tempat kerja dan lingkungan.

Advertisement

Untuk meminimalisasi penyebaran kanker yang kian masif, perlu dilakukan deteksi dini kanker agar tidak terjadi keparahan yang berimplikasi terhadap beban biaya pengobatan.

Deteksi dini diutamakan pada :
1. Laki-laki, usia 40 tahun ke atas, perokok
2. Pajanan di tempat kerja dan lingkungan: pajanan asbes, silika, Dioxin, timbal, merkuri, formaldehid (formalin), benzene (bahan bakar minyak, cat dan polusi kendaraan bermotor).
3. Memiliki gejala : batuk darah, batuk kronik, sesak nafas, nyeri dada, berat badan menurun.

Direktur utama RSUP Persahabatan, Prof. dr. Agus Dwi Susanto, mengatakan sebagai rumah sakit rujukan respirasi nasional, RSUP Persahabatan menyediakan layanan One Stop Service, deteksi dini kanker paru.

“One Stop Service merupakan pemberian pelayanan terpusat dalam ruang unit medical check up (MCU) yang sangat memudahkan pasien untuk memeriksaan kesehatannya dalam satu tempat,” ucap Prof. Agus.

Advertisement

Pendaftaran bagi pasien cukup dengan membuka website RSUP Persahabatan di https://www.rsuppersahabatan.co.id/ pada satu hari sebelum pemeriksaan.

Pelayanan ini didukung oleh kolaborasi antar unit kerja yang ada di RSUP Persahabatan yang dapat memudahkan pasien. Fasilitas deteksi dini MCU untuk kanker paru RSUP Persahabatan antara lain :
1. Dokter spesialis dan sub spesialis paru di bidang onkologi thorax.
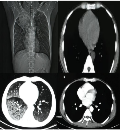
2. Peralatan rontgen thorax, CT scan.
3. Laboratorium lengkap dan canggih dalam pelayanan One Stop Service termasuk penanda tumor (tumor marker) dan pemeriksaan biomolekuler.
4. Konsultasi hasil MCU.

Kepala Instalasi Medical Check Up dan Kedokteran Kerja RSUP Persahabatan dr. Ariningsih mengatakan pemeriksaan kanker sedini mungkin dapat mencegah terjadinya kanker dan mencegah pengeluaran biaya tinggi.

“Pemeriksaan kanker sejak dini, merupakan kepedulian kepada diri sendiri dibandingkan mengeluarkan biaya lebih besar untuk mengobatinya,” kata dr. Ariningsih.

Advertisement

One Stop Service deteksi kanker berada di ruang pemeriksaan yang nyaman dengan fasilitas mumpuni. Mengusung konsep “homey” yakni memberikan kenyamanan layaknya di rumah, tersedianya lobby untuk menunggu bagi pasien yang berkunjung ke ruang medical check up, ruang makan berfasilitas lengkap serta ruang ganti dan toilet yang bersih dan nyaman.

Pelayanan yang didukung oleh tenaga kesehatan handal merupakan hal utama yang RSUP Persahabatan berikan demi kenyamanan pasien. Pemeriksaan terinci sebagai langkah awal deteksi dini kanker paru.

RSUP Persahabatan mendampingi dan menyarankan pasien terkait syarat yang akan dilarang dan diperbolehkan selama proses persiapan MCU, di antaranya tidak merokok selama 2 jam sebelum tindakan hingga pemakaian baju tidak ketat merupakan syarat yang harus dipenuhi oleh pasien.

Adapun tarif skrining kanker paru sebagai berikut :
A. Pemeriksaan Fisik oleh dokter S
Spesialis paru Rp.100.000
B. Pemeriksaan Radiologi :
– Foto Thorax Rp.115.000
– CT Thorax HRCT Rp.1.500.000
C. Pemeriksaan Laboratorium :
– Darah Lengkap Rp.54.000
– Rapid Antigen SARS CoV-2 Rp.99.000
D. Pemeriksaan Penunjang :
– Spirometri Rp.335.000
Total Rp.2.203.000

Advertisement
Advertisement

Click to comment

Leave a Reply

Alamat email Anda tidak akan dipublikasikan. Ruas yang wajib ditandai *

Populer