Lifestyle
Gigi Sensitif Setelah Scaling, Kok Bisa?

Scaling atau skeling merupakan perawatan yang paling umum di dokter gigi. Perawatan ini penting dilakukan untuk membersihkan plak dan karang gigi pada seluruh permukaan gigi. Mungkin sebagian orang bertanya, apakah benar gigi terasa sensitif setelah melakukan scaling? Lalu, apakah orang dengan gigi sensitif boleh menjalani perawatan scaling? Mari kita cari tahu jawabannya di bawah ini.
Perawatan scaling perlu dilakukan setiap orang
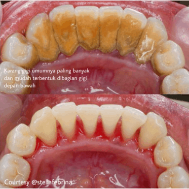
Plak mengandung bakteri dan menempel erat pada permukaan gigi. Ini dapat dibersihkan dengan menyikat gigi. Plak yang tidak dibersihkan dan tersisa pada gigi, akan mengalami pengendapan mineral sehingga mengeras, membentuk karang gigi atau kalkulus.
Makanan dan minuman berwarna seperti teh dan kopi yang kita konsumsi serta kebiasaan merokok juga dapat meninggalkan noda pada gigi yang kita sebut stain.
Karang gigi dan stain tidak bisa dibersihkan hanya dengan sikat gigi, tetapi perlu tindakan perawatan oleh dokter gigi menggunakan alat khusus. Tidak dianjurkan untuk membersihkan sendiri di rumah, terutama menggunakan benda tajam dan bahan kimia.



Perawatan scaling dianjurkan untuk semua orang yang memiliki karang gigi, baik dalam jumlah sedikit atau banyak.
Dokter gigi akan membersihkan karang gigi dengan menggunakan alat ultrasonik scaler. Alat ini bekerja dengan vibrasi atau getaran yang membuat lekatan karang gigi terlepas dari gigi. Ketika scaling dilakukan dengan cara yang tepat, tentu tidak akan membuat email (enamel) gigi rusak atau menipis.
Mungkin sebagian pasien merasa tidak nyaman karena ngilu setelah menjalani perawatan ini. Hal ini biasanya menimbulkan pertanyaan, apakah scaling berpengaruh pada sensitivitas gigi?
Gigi sensitif hanya berlangsung sementara setelah scaling
Menurut survei Journal of Dentistry, 62,5%-90% pasien mengeluhkan gigi sensitif satu hari setelah scaling. Kabar baiknya keluhan ini berangsur hilang dalam beberapa hari di bawah satu minggu.
Sebelum memulai scaling, dokter gigi akan memeriksa struktur dan kondisi gigi pasien secara menyeluruh. Pada pasien yang datang dengan keluhan gigi sensitif, akan dicari faktor penyebabnya terlebih dahulu. Gigi sensitif bisa terjadi akibat penurunan gusi (resesi gusi), pengikisan lapisan enamel, gigi pecah, dan banyak faktor lainnya.
Rasa tidak nyaman seperti ngilu saat pembersihan karang gigi dan gigi sensitif sesudah perawatan bisa ditentukan dari beberapa hal, seperti:
- Banyak dan kedalaman karang gigi
- Kondisi gigi dan gusi pasien
- Pengalaman, teknik, dan alat dokter gigi
Permukaan gigi yang sebelumnya tertutup karang setelah dibersihkan akan terekspos, membuat gigi terasa lebih sensitif terhadap rangsangan sementara waktu. Bayangkan gigi adalah diri kita, karang gigi adalah selimut.
Saat kondisi dingin, selimut yang kita pakai diambil, tentu kita akan merasa lebih dingin sementara waktu. Begitu pula dengan gigi, saat dibersihkan karangnya, gigi akan terasa lebih sensitif sementara waktu setelah scaling sehingga membutuhkan waktu untuk penyesuaian.
Pada pasien yang memiliki kondisi gusi yang sudah turun, biasanya karang gigi akan menutupi bagian leher gigi. Pada bagian ini tidak dilapisi oleh email gigi. Setelah dibersihkan, tentunya bagian gigi ini akan terasa sensitif.
Karang gigi yang sangat keras dan lama, akan lebih sulit dibersihkan. Keadaaan ini memiliki risiko terkikisnya enamel yang akan membuat bagian dentin gigi terbuka saat scaling. Hal ini dapat memicu gigi menjadi sensitif. Oleh karena itu, jangan menunggu karang gigi menumpuk terlalu banyak untuk melakukan scaling.
Cara mengatasi gigi sensitif setelah scaling
Apabila merasakan gigi sensitif setelah perawatan scaling, berikut adalah hal-hal yang dapat anda lakukan untuk meredakan rasa tidak nyaman :
- Menghindari hal-hal yang membuat gigi sensitif seperti, makanan dan minuman dingin, panas, asam, terlalu manis, dan bersoda.
- Menggunakan pasta gigi khusus untuk gigi sensitif yang memiliki bahan aktif seperti potassium nitrate dan Calcium Sodium Phosphosilicate, sehingga membantu meringankan rasa ngilu dan sekaligus memberikan perlindungan dari rasa ngilu akibat gigi sensitif.
- Pada permukaan gigi yang dirasakan tidak nyaman, oleskan tipis pasta gigi khusus untuk gigi sensitif, lalu dibawa tidur. Lakukan ini setelah sikat gigi.
- Apabila rasa sensitif melebihi satu minggu, sebaiknya kembali ke dokter gigi untuk perawatan selanjutnya.
Karang gigi tetap perlu dibersihkan secara berkala
Umumnya disarankan untuk melakukan scaling setiap 6 bulan sekali sekaligus kontrol berkala ke dokter gigi. Nyatanya, setiap orang memiliki kecepatan pembentukan karang gigi yang berbeda-beda. Maka dari itu, perlu konsultasi dengan dokter gigi untuk menentukan jumlah dan waktu kunjungan yang sesuai dengan kondisi Anda.
Pasien dengan keluhan gigi sensitif, bukan menjadi tolok ukur untuk menentukan jumlah dan waktu kunjungan scaling. Sebaiknya untuk pasien dengan gigi sensitif, konsultasikan penyebab gigi sensitif Anda. Anda juga bisa menerapkan cara perawata gigi sensitif setelah scaling seperti poin-poin di atas.
Namun, Anda tidak perlu melakukan scaling gigi terlalu sering. Karang gigi juga memerlukan waktu untuk terbentuk. Ingat, yang penting bukan “sering”, melainkan “teratur” sesuai jadwal yang disarankan dokter gigi berdasarkan kebutuhan Anda.
Kabartangsel.com
Bisnis6 hari agoWarnaGo Resmi Hadir di Tangerang, Usung Konsep One-Stop Solution Cat Premium
Banten6 hari agoPeringati Milad ke-6 dan HPN 2026, JMSI Banten Gelar Aksi Sosial dan Lingkungan
Jabodetabek5 hari agoIDWX Hadirkan Jam Tangan Tag Heuer Original untuk Pecinta Jam Mewah di Jakarta
Bisnis5 hari agoAle-Ale Rasa Buah Nanas: Juicy Nanasnya, Segarnya Juara
Pemerintahan5 hari agoBenyamin Davnie Pastikan Tumpukan Sampah di Tangsel Sudah Teratasi
Jabodetabek5 hari agoBedah Akuntabilitas BUMN Pasca Danantara, Akademisi UIN Jakarta Fathudin Kalimas Raih Doktor di UI
Pemerintahan5 hari agoPemkot Tangsel Gandeng KPK Perkuat Pencegahan Korupsi Lewat Program Keluarga Berintegritas
Pemerintahan5 hari agoPilar Saga Ichsan Hadiri Puncak HPN 2026 di Banten: Perkuat Peran Pers Hadapi Tantangan Era Digital dan AI




















